Das Ganz-Körper-Statik-Messsystem S 400 wurde in jahrelanger Forschung entwickelt.
Dieses zeigt die Körper-Statik, respektive die Fehlstatik, immer über die gleiche vorgegebene Standhaltung unter Muskelspannung.
Alle Abweichungen erfolgen immer über die statische Körpermittellinie. Nur so werden
seitliche-, höhen-Abweichungen, Rotationen, Beinstellungen, mit Knieblockaden und Fehlbelastungen der Fuss-, Fuss-Stellungen im Zusammenhang ersichtlich und vermasst.
Diese Messdaten mit der ersichtlichen Körpersprache unterstützten die Suche nach den Ursachen, die so in eine Behandlung einfliessen. Das vereinfacht gezielte Anwendungen durchzuführen und den Verlauf reproduzierbar aufzuzeigen.
Ätiologie beschäftigt sich mit den Ursachen von Beschwerden und Krankheiten.
(Laut MSD Manual 5. Auflage Urban & Schwarzberg) Die Ursache der Arthrose ist unbekannt.
Leider werden seit über 100 Jahren Bein-Längen-Abweichungen im unbelasteten Zustand vermessen und auch so bebildert, ohne Kenntnis der 9 unterschiedlichen Ausweichhaltungen aus der Körper-Statischen-Mittellinie.
Dadurch werden diese Ausweichhaltungen der Fehlstatik (Winkel Verschiebungen, Rotation, Höhen-Abweichungen, Beinstellungs-Veränderungen) als Beinlängen-Abweichungen vermessen, die in über 99,…% effektiv nicht vorhanden sind.
Mit Hilfe der Styfologie®-Ganz-Körper-Statik-Vermessung wird die Fehlstatik sicht-, mess- und behandelbar aufgezeigt. Zur Kontrolle kann in ca. 5 Minuten mit unserer Therapiematte aufgezeigt werden, ob es sich dabei nur um einen Beckentiefstand, oder um eine echte Beinverkürzung handelt.
Statik, Hebelgesetz, Psyche/Gedanken:
Die Forschung baut auf den Folgen der Fehl-Statik auf. Genauso die Medizin / die Biomechanik / die Psychischen Einflüsse, die negative Gedanken zur Folge haben und sich im Bauchhirn bemerkbar machen.
Die Muskeln benötigen die Knochen-Hebel als Kraft-Übersetzung.
Befindet sich Spannung und Gegenspannung nicht im Gleichgewicht, verzieht es das Skelett. Dadurch verändern sich Knochen- und Gelenkstellungen, was zu einseitiger Überbelastung führt und vielmals als Arthrose betrachtet wird.
Diese Fehl-Spannungslinien verursachen Überdehnungsschmerzen, Durchblutungs- und Lymphsystem-Störungen. Die Spannungslinien führen auch zu inneren Blockaden von Organen, Organ-Verbindungen, die wiederum unterschiedliche Beschwerden verursachen können.
Wie kann die Fehlstatik aus Körperteil-Aufnahmen Ursachen bezogen erkannt werden, die zu Knochen-, Gelenk-, Wirbelkörper-, Bandscheiben-Veränderungen führen?
Wie können so die verursachenden Muskel-Fehl-Spannungs-Linien erkannt werden?
Die Körper-Statik-Vermessung zeigt vieles einfach im Zusammenhang auf,
über die Statik (Fehl-Statik/ Hebelgesetz / Muskulatur / Sehnen, die über diese Ausweichhaltungen zu Beschwerden führen.
- Bei den Bildgebenden Abbildungen weiss niemand wie diese zustande kamen und welchen Schmerzen die Person durch eine Entlastungshaltung ausgewichen ist.
- Ein Körper verändert sich über bequemes liegen durch entlasten der Bein/Knieachse und Kopfabstützung und dadurch verändert sich auch die Körper Spannung.
- Welche Körperhaltung wurde nun bei den Bildern dargestellt?
- Wieso fehlen die Mess-Aufnahme-Daten aus der statischen Körper-Mittellinie, damit ein Bild richtig interpretiert werden kann?
Wieso fehlen diese Statik-Angaben bei Bildgebenden Momentaufnahmen?
Körperaufnahmen in Schonhaltung werden Beschwerden sichtbar gemacht, ohne deren Ursachen zu berücksichtigen. Trotz optimaler Bildqualität und hochauflösender Aufnahmen werden die Ursachen der Beschwerden so nicht besser sichtbar, weil eine veränderte Muskelspannung auch eine veränderte Aufnahme zur Folge hat.
Anhand einiger Röntgen / MRI Bilder etc. Zeigen wir dies auf. Bilder Getty / Getty Image
Der Körper besteht aus drei Hauptteilen:
Becken als Mittelebene, Oberkörper wird auf die Mittelebene abgestützt, die Beine mit den Füssen werden am Becken aufgehängt.
Ist die Mittelebene nicht waagrecht und senkrecht in der Mitte ausgerichtet, kann weder der Oberkörper noch die Beine ausgeglichen abgestützt oder aufgehängt werden.


2. Auf einer schiefen Beckenebene kann der Oberkörper nicht senkrecht abgestützt werden.
Folglich führt dies zu einer einseitigen Muskelspannungslinie, damit ein aufrechtes stehen und gehen möglich ist.

1. Verschiebt sich das Becken zur Seite, oder verdreht es dasselbe, führt dies automatisch zu einer Beckenhöhenabweichung, die dann irrtümlich als Beinlängen-Unterschied bebildert und vermessen wird.

3. Durch den Beckenschiefstand und der einseitigen Oberkörper-spannung weicht zudem das Becken auch noch seitlich aus. Vielmals wird dieser Beinstellungs-Veränderung mit auswärts drehen der Bein-Fussachse oder mit einem Knickfuss dagegen gehalten. Somit wird dem einseitigen steileren Anstellungswinkel der Veränderten
Hüftkugelübertragung dagegen gehalten.

4. Becken Vergleich mit einem Gleichschenkligen Dreieck.
Verschiebt sich die untere Linie des Dreiecks seitlich, verändert es die Schenkelstellungen. Die eine Seite wird steiler, bei der anderen wird der Winkel kleiner. Obwohl die Längen unverändert sind, erfolgt optisch und scheinbar ein Längenunterschied. Nur beim Becken wirkt sich dies über den Schenkelhals als Übersetzung noch stärker aus.

| Diese seitliche Verschiebung hat zur Folge, dass der Schenkel mit dem vergrösserten Winkel zum Becken nach innen drückt. Die Gegenseite drückt durch den kleineren Winkel die Hüftkugel noch oben. Dem wird dann vielmals durch auswärtsdrehen dieses Fusses dagegengehalten. | Beinstellungsveränderung Durch seitliche Hüftverschiebung, hier auf der Abbildung Mitte zu sehen ist, erfolgt eine scheinbare wie auch messbare längen Abweichungen. Grund dafür ist die seitliche Beckenverschiebung die zu einer Schenkel Winkel Veränderung zum Becken führt und somit den scheinbare längen Unterschied verursacht. |

5. Bei der Abbildung kann man ersehen, dass wir auf den Beckenhöcker sitzen. Wären es die sogenannten Beinlängen-Unterschiede, müssten die Beckenkämme über die statische Mittellinie vermessen, ausgeglichen sein. Leider ist dies nicht der Fall. Mit unserem Pat. Statik-Mess-system können wir dies in unserem Schauraum über die Statik-Vermessung aufzeigen. | 6. In über 99% der sogenannten Beinlängen-Unterschieden handelt es sich um Muskel-Fehlplanungen (Muskel-Blockaden). Mit unserer Therapiematte kann in ca. 5 Minuten aufgezeigt werden, ob es sich um eine Spannungsbedingte Abweichung handelt (ca. 99%) oder ob es sich dabei um eine effektive Verkürzung handelt (ca. 1%) Auch ein dauerhafter messbarer Ausgleich können wir aufzeigen. Dieser benötigt ca. 2 Stunden. Längste Nachmessung nach 23 Jahren. |

7. Zum Unterschied der heutigen Messmethoden, die sich aufs Skelett beziehen: Knochen, Gelenke und Wirbelkörper
ist uns bis heute noch kein vorbeimarschierendes Skelett begegnet.

8. Das heisst:
Die Muskeln, Sehnen und Bänder halten das Skelett zusammen.
Für die Bewegung benötigt es die Muskelkraft.
Für die Kraftoptimierung benötigen die Muskeln die Skelett-Knochen.
Sind laut Statik die Kräfte im ruhenden Zustand nicht ausgeglichen, verformt des den Körper, indem es ihn komprimiert verzieht und verdreht.
Beispiel Mensch Auto
Der Mensch wird unbelastet auf dem Rücken liegend vermessen, ohne jede körperliche Ausweichhaltung zu berücksichtigen. Wie können so die spannungsbedingten Längenabweichungen, die sogenannten Beinlängen-Unterschiede Ursachen bezogen aufgezeigt werden?


| 1.1 Wie kann ein entlasteter Körper, ohne die Ausweichhaltungen zu berücksichtigen, eine reproduzierbare Längenabweichung gemessen werden? Wie verhält sich der Körper unter Belastung? | 1. Würden Sie ihr Auto auch aufs Dach kehren um die Radspur einzustellen? Wie würde sich das Fahrzeug unter Belastung verhalten? |


1.2 Würden Sie am Ende einer Fehlbelastungskette, bei den Füssen von unten her den Beckentiefstand und die Kompensationshaltungen des Oberkörpers durch stützen der Füsse korrigieren wollen? | 2. Wenn also am Ende der Fehlbelastungen die Auswirkungen der Fahrspur bei den Pneus gefunden würde, müsste dann wie beim Menschen, die Pneus Keilförmig auf gedoppelt werden? Damit über den Gegendruck die Fahrspur über diesen Gegendruck ausgerichtet wird. Mit welchen Folgen? |
Beim Menschen werden Fussbelastungsplatten für Einlagen mit Computer aufgenommen.
Wie werden dabei die Fehlbelastungen ausgehend vom Beckentiefstand, der seitlichen Hüftverschiebung, der Oberkörper-Ausweichhaltung, die zu veränderten Bein- Fuss-Stellung führen, berücksichtigt?
Befindet sich das Becken nicht Waagrecht und Senkrecht im Lot, werden diese Fehlkräfte mit den Ausweichhaltungen auch in der Bewegung bemerkbar machen.
Laufbandanalysen: Welche Ursachen bezogene Aussage können diese über eine schiefe Beckenebene geben?
Auto: Hat der Pneu eines Autos einen Plattfuss, wird dann das Fahrverhalten geprüft?
Beim Menschen wirkt sich der Beckentiefstand wie beim Auto als Plattfuss aus. Je nach Spannungs-Abweichung wirkt sich dies auch in der Dynamik dem endsprechend aus.

MRI- Röntgen-Bilder etc.
Fehlen die Abweichungen aus der Körper-statischen Mittellinie mit den Messdaten, damit man weiss, wie diese Abbildung zustande kam.
Abbildung:
Ohne reproduzierbare Anhaltspunkte bezüglich Fussstellung und den Ausweichhaltungen wird eine Person in der entspannten Körperhaltung bebildert.

Abbildung:
Was kann man aus so einem Bild lesen.
Leider fehlen die erwähnten Angaben,
damit ein aussagekräftiges und reproduzierbares Bild entsteht, das Ursachen bezogen Auskunft gibt.

Was kann eine solche Aufnahme ohne Muskelspannung aufzeigen?
Über die Knieentlastung verändern sich Hüftgelenk- und Rückgrat-Stellungen.
Wie kann somit eine Stellungsveränderung z.B. über eine einseitige Knieblockade, oder eine Stellungsveränderung der Beinschenkelwinkel zum Becken, eine schiefe Beckenebene festgestellt werden, die eventuell Gelenk oder Rückenbeschwerden verursachen können. Weiter verändert sich die Rückgrat-Stellung. Wie werden dabei Hohl- und Flachrücken im Zusammenhang beurteilt?

Knie-Unterlage zur Entlastung
Fussstellungen verändern Gelenkstellung im Becken
Kopf-Unterlage verändert die Oberkörperspannung.
Ein Körper ohne Belastung stellt wohl ein optisch genaues Bild dar, kann jedoch keine Auskunft über einen fehlbelasteten Körper geben.
Dabei fehlen auch folgende Fragen:
Haben Sie Angst, Angstinformation erhalten
Stress am Arbeitsplatz, Familie, Strassenverkehr, über langes Warten im Warteraum
Haben Sie Schmerzen.
Alle diese
Komponenten können unterschiedliche Muskelspannungen auslösen und ein Bild verfälschen.
Die Körper-Statik-Vermessung zeigt vieles einfach im Zusammenhang auf.
Über Statik / Hebelgesetz / Muskulatur / Sehnen und Bänder / werden die Skelett Ausweichhaltungen präzise und reproduzierbar aufgezeigt, die über die Fehlbelastungen zu Beschwerden führen.
Wieso fehlen diese Statik-Angaben bei Bildgebenden Momentaufnahmen?
Kann sich ein Skelett selbständig bewegen?
Wer ist für die Bewegung und den Zusammenhalt verantwortlich?
Was kann eine Skelett-Bildaufnahme betreffend die Arthrose aufzeigen?
Wie können so die Fehlstellungen Ursachen bezogen aufgezeigt und behandelt werden?
Wie können im entspannten Liegen aus Teilbereichen die Ursachen erkannt werden? etc.
Körperaufnahmen in Schonhaltung werden Beschwerden sichtbar gemacht, ohne deren Ursachen zu berücksichtigen. Trotz optimaler Bildqualität und hochauflösender Aufnahmen werden die Ursachen der Beschwerden so nicht besser sichtbar, weil eine veränderte Muskelspannung auch eine veränderte Aufnahme zur Folge hat.
Im Anhang zeigen wir dies bei einigen Röntgen / MRI Bilder auf.
So entstehen Beschwerdebilder, bei denen Veränderungen sichtbar werden, ohne den Grund dafür aufzuzeigen.
Im Wissen, das sich kein Skelett aus eigenem Antrieb bewegen kann. Für den Zusammenhalt der Knochen, Gelenke, Wirbelkörper und die Bewegung sind die Muskeln, Sehnen und Bänder verantwortlich.
Oberkörper seitliche Ausweichhaltung führt über die Hebelwirkung zu Überbelastung der Knie-Innenseite (Folge Arthrose wird festgestellt?)


Dieses Beispiel:
Abgenutzter Knorpel
Ursache: Seitliche Oberkörper
Ausweichhaltung


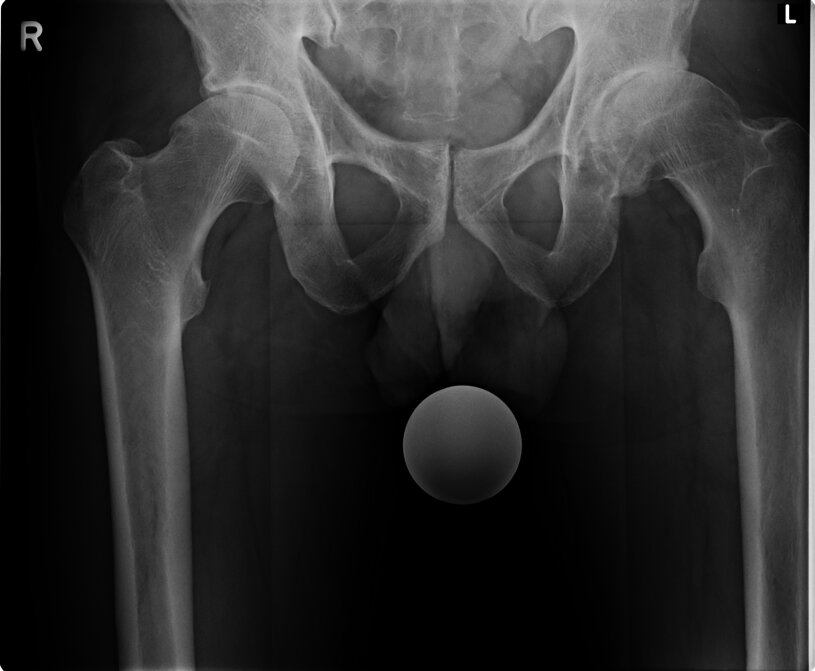
Becken Bild 1

Anhand der Original Aufnahmen werden Spannungsbedingte Ausweichhaltungen auf den folgenden Seiten sichtbar gemacht.
6848180
1.1
Aufnahme zeigt eine Verdrehung der linken Seite, anhand der Beckenlöcher.
Zudem muss das Becken seitlich verschoben sein.
Sichtbar anhand der Beinstellungen und der Verdrehung des Schenkelhalses.
Weiter wird ersichtlich, dass links das Becken hochgedrückt wird.
Eindeutig am Beckenspalt zu erkennen, das der Oberkörper nach links ausweicht und somit das Becken in der Höhe verzieht.
Auch drückt es oberhalb der Hüftkugel rechts das Becken über den Zug der seitlichen Oberkörper Haltung hoch und verzieht das Becken.
1.2
Wurde ein neues Hüftgelenk eingebaut, wegen den Schmerzen in der Leiste.
1.3

Nun sieht man, dass die Bein- und Gelenk-Stellung nicht übereinstimmt.
Die Schmerzen sind geblieben.
Abbildung Hüft / Teil Rücken / Teil Beine von hinten aufgenommen
1.5
1.6
Hüft mit Strichen Pfeilen Kreise sichtbar gemacht
Oberkörper weicht trotz Hüftgelenk Ersatz blau eingesetzte Striche aus.
Anhand der Gesässfalten wird auch der Beckentiefstand ersichtlich.
Über die Grüne Linie sieht man wie die rechte Seite geknickt wird.
Auf der linken Seite wird die Überdehnungsspannung sichtbar.
Würde die Ganz-Körper-Statik Vermessung eingesetzt, würde die Diagnose schnell und präzise die Ausweichhaltungen aufzeigen.
Würde die Ganz-Körper-Statik Vermessung bei den bildgebenden Verfahren eingesetzt, könnten Fehldiagnosen verhindert werden. Dies würde die Ursache der Skelett Ausweichhaltungen als Ursache der Muskelfehlspannungen aufzeigen.
1.7
Trotz dem wurde das andere Hüftgelenk auch noch ausgewechselt.
Trotz Operationen sind die Schmerzen geblieben.
Beachtet man das Becken und die Gelenk-Stellungen sieht man nun auf der rechten Seite eine Verdrehung des Beckenlochs.
Der Beckenspalt ist immer noch hochgezogen. Durch die Verdrehung quetscht nun die linke Seite.
Man hat die Belastung verschoben.
Bei der Statik Kontrolle wurde der Beckentiefstand und der damit verbundenen seitlichen Oberkörper- Ausweichhaltung nicht beachtet.
1.8
DICOM-30
Würde die Ganz-Körper-Statik Vermessung bei den bildgebenden Verfahren eingesetzt, könnten Fehldiagnosen verhindert und zudem viele Kosten gespart werden. Dies würde die Ursache der Skelett Ausweichhaltungen als Ursache der Muskelfehlspannungen aufzeigen.
Um auch die Ursache der Beschwerden aufzudecken, wird der Einbau der Ganzkörperstatik und des Hebelgesetzes benötigt, damit auch reproduzierbar die Gesamtkörperstatik berücksichtigt werden kann.
Die Vorteile
- vereinfacht die Diagnose:
alle Zusammenhänge in der Ganzkörperstatik werden aufgezeigt - reproduzierbare Messdaten:
Ausweichhaltungen und deren Verlauf werden einfach und klar dokumentiert - Behandlungs-Sicherheit:
Auslöser der Probleme werden durch die Ausweichhaltung sichtbar und können gezielt behandelt werden - verbesserte Qualität der Behandlung:
neben dem entstandenen Körperproblem (Auswirkung) wird auch die Ursache der Beschwerde über die Hebelgesetze erkannt. Durch die genaue Erkennung der Fehlspannungen können diese in einer Therapie mit einfliessen und so einen schnelleren Heilungserfolg ermöglichen - weniger Fehldiagnosen:
durch Mitberücksichtigung der Ganzkörperstatik und das Erkennen der Fehlstatik ist die genaue Bestimmung der Ursache möglich
Der Grund einer Beschwerde sind vielmals Muskelfehlspannungslinien, die zu Überdehnungsschmerzen führen. Diese Ausweichhaltungen werden als Fehlstatik vermessen.
Dies wiederum führt zu Punktuellen Überbelastungen und wird dann als Abnutzungen, Ablagerungen an Gelenken und Wirbelkörper führen. Was dann z.B. als Arthrose oder Bandscheibenvorfall bebildert wird.
Leider können so die Ursachen der Fehlbelastungen nicht aufgezeigt werden.
Werden diese Linien gelöst, kann der Körper wieder in seine Idealhaltung zurückgeführt werden. Ausgeglichene Belastung kann vielen Körperproblemen vorbeugen. Aber nicht nur das, der Belastungs-Ausgleich löst als Ursache viele Spannungsbedingte Körperprobleme.
Mit Hilfe der Ganzkörperstatik und dem Hebelgesetz lässt sich über die entstandenen Querkräfte auch die Ursache der Beschwerden feststellen. Dafür wären fest eingebaute Anschlagschieber für eine referenz-basierte Körperaufnahme notwendig. Auch dafür hätten wir eine Lösung.
Kurze Zusammenfassung
Skelett
Das Skelett besteht aus einzelnen Knochen, Gelenken, Wirbelkörpern und wird über Bänder, Sehnen und Muskeln zusammengehalten und bewegt. (ca. 206 Knochen im erwachsenen Alter)
Muskulatur / Sehnen und Bänder
Muskulatur, Sehnen und Bänder sind für die Bewegung und den Zusammenhalt des Skeletts verantwortlich. Die Muskeln benötigen die Knochen als Kraftübersetzung. (ein gesunder Mensch ca. 656 Muskeln)
Statik
Die Statik beschreibt unter anderem, dass die Kräfte im ruhenden Zustand ausgeglichen sein müssen, ansonsten verzieht, komprimiert oder verdreht es den Körper.
Hebelgesetz
Nach dem Hebelgesetz können z. B. mit 5Kg je nach Hebellänge 100 Kg im Gleichgewicht gehalten werden. Dadurch wird auch klar, wie Spannungsunterschiede das Skelett verziehen.
Diese Einseitigen Kräfte
Sind verantwortlich für die Ausweich- und Kompensations-Haltungen. Diese wiederum verändern Skelettstellungen über Knochen, Gelenke und Wirbelkörper.
Beschwerden
Ursachen von Problemen am Skelett können in vielen Fällen nicht von diesem ausgehen. Tatsache ist: Das ohne Bänder, Sehnen und Muskeln das Skelett in sich zusammenfällt. Somit ist das Skelett mit seinen Knochen, Gelenken und Wirbelkörper elastisch.
Weil sich Muskel/Sehnen Ansätze zur optimalen Kraftübertragung häufig in Gelenk- und Wirbelnähe befinden, werden die Muskel / Sehnen Überdehnungen vielmals als Gelenk oder Rückenbeschwerden / Schmerzen wahrgenommen. Die Summe der Fehlspannungen und deren Ausweichhaltungen führen so automatisch zu Belastungs-, Durchblutungs- und Funktions-Störungen, die sowohl das Skelett, als auch die Muskulatur Linien und dadurch auch innere Organe und Organverbindungen betreffen können.
Beckentiefstand nicht zu verwechseln mit den je 9 Ausweichhaltungen und dazu 46 mögliche Kombinationen die zu ähnlichen Schiefständen führen, aber auch zu unterschiedlichen Längenabweichungen.
Beinlängen-Unterschiede
Gibt es diese wirklich?
Laut der Statik Vermessung sind diese effektiven Abweichungen der Beinlängen unter einem Prozent und trotzdem werden die Ausweichhaltungen immer noch als solche behandelt.
Wären es wirkliche Beinlängen-Unterschiede, müssten diese beim Sitzen in der statischen Mittellinie über den Beckenkamm ausgeglichen sein, da man auf den Beckenhöckern sitzt. Leider ist dies nach unserer Messmethode nicht der Fall. Zudem können wir innert ca. fünf Minuten aufzeigen, ob dieser Schiefstand des Beckens langfristig ausgeglichen werden kann. Längste Nachmessung erfolgte nach ca. 23 Jahren und war immer noch ausgeglichen.
Zusammengefasst besteht das Skelett aus drei Teilen, der Mittelebene dem Becken, abgestützt darauf der Oberkörper und am Becken angehängt die Beine mit den Füssen. Über eine schiefe Beckenebene verändert sich automatisch die Oberkörperhaltung. Diese Fehlkräfte wirken wiederum auf das Becken und dadurch auch auf die Bein- und Fussstellungen, die diese Fehlbelastungen auf den Boden übertragen.
Statt des Beckenausgleiches werden Rückenschmerzen, Hüftbeschwerden und Fehl-Stellungen der Beine und Füsse am Ende einer Fehlbelastungskette behandelt. Die Verspannungslinien führen zu einseitigen Gelenküberbelastungen und werden dann als Arthrose beschrieben und bebildert.
Bildgebende verfahren
Ein weiteres Thema sind die Bildgebenden verfahren, die über keine statisch relevanten Angaben verfügen, und somit nicht reproduzierbar sind.
Nehmen wir als Beispiel die liegenden Aufnahmen. Bei dem der Körper die Spannungen über die ganze Körperlänge auf die Liege übertragen. Ohne dabei aufzuzeigen, um welche Ausweichhaltungen es sich bei diesen Aufnahmen handelt und mit welcher Spannung diese aufgenommen wurden. Vielmals wird zur Entlastung durch unterlegen der Knie und Kopf eine Entspannung herbeigeführt, die eine Aufnahme weiter verändert.
Nur eine seitlich ausgedrehte Bein-Fussstellung verändert die Hüftgelenkbelastung, was man selbst ausprobieren kann, indem man die Hand seitlich des Hüftgelenkes anlegt, und die Fussstellung von Parallel nach aussen dreht.
Wie kann eine liegende entspannte Aufnahme die bei einem Körper von 180 cm Auskunft geben, wenn die gleiche Person im Stehen diese Fehlspannungsauswirkungen über ca. 30cm auf den Boden übertragen und zudem die aufrechte Haltung in der Balance halten/spannen muss?
Wissenschaft, Biomechanik, Skelettradiologie, Röntgenbilder
Welche Auskunft sollte ein Bild geben?
Wissenschaft / Hypothesen
„Die Bewertung von Annahmen und Entdeckung von neuem Wissen (auch Wissenschaft und Forschung genannt!) vollzieht sich gewissermassen in Kreisläufen.“
„Beobachtungen erlauben Definitionen und Beschreibung von Problemen, die Analyse führt dann durch Abstraktion wesentlicher Elemente zu einer Hypothese oder Theorie.“
„Diese wiederum lässt eine Voraussage neuer Ereignisse und Erkenntnisse zu, die es zu überprüfen gilt. usw.“

(---) (Wissenschaft: Laut GK2 medizinische Biometrie /Thieme Verlag) (11)
„Spezialisten aller Fachgebiete können bestätigen, dass ein nicht unerheblicher Teil, der in der wissenschaftlichen Literatur beschriebenen Ergebnisse nicht reproduzierbar ist, bzw. als ständige Wiederholung von Artefakten aufzufassen ist.“
„In der heutigen Zeit stehen Wissenschaftler in aller Welt mehr denn je unter Erfolgszwang.“
„Dessen ungeachtet stimmen die theoretischen Voraussetzungen“ – denn es gilt:
„Hypothesen können nur geprüft, nie aber bewiesen werden!“

Wie können bei dieser Messmethode die unterschiedlichen Ausweichhaltungen, die zu unterschiedlichen Längenabweichungen führen, berücksichtigt werden?
Die Styfologie ® zeigt 9 Ausweichhaltungen zur rechten- und zur linken Seite auf. Diese ergeben 46 Kombinationsmöglichkeiten. Kann dies von blossem Auge festgestellt werden?
Wie kann man so eine Person 2-mal vor und nach Behandlungen, in die zu vergleichende Position bringen?
Was können Bewegungseinschränkungen aufzeigen?
Dabei handelt es sich um Muskelblockaden.
Diese schützen so die punktuellen Überbelastungen von Gelenken und Wirbelkörpern.
Die Bewegungseinschränkung wird über die Muskelspannung zum Schutze der punktuellen Überbelastungen von Gelenken und Wirbelkörper zur Schonung veranlasst.
Wissenschaft 24.11.10.Spektrum der Wissenschaft Spezial s.1 s.9 s.12. s.23.
„Wäre der Mensch intelligent genug, um alle Gesetze der Welt zu kennen, könnte er in jedem Augenblick, den Zustand ihrer sämtlichen Bestandteile bestimmen „
(so Laplace) Verfasser Francois Pépin lehrt Philosophie an der Uni. Nanterre-Paris Ouest.
Wahrscheinlichkeit
„Wie stellt man fest, dass die Wahrscheinlichkeit die Möglichkeit für die Verwirklichung des Ereignisses bezeichnet – und nicht die Auswirkung unserer Unkenntnis.“
Bericht Thierry Martin Professor für Geschichte und Philosophie Uni. Franche-Comté in Beançon (Frankreich)
„Ist der Zufall – der irgendwie hinter jeder Wahrscheinlichkeitsaussage steckt – eine Eigenschaft der Welt oder Ausdruck unserer mangelhaften Kenntnis derselben?“s.1 Christoph Pöppe Redakteur dieser Ausgabe
„So versucht die Bestätigungsrelation zwischen Daten und Hypothesen wahrscheinlichkeitstheoretisch auszudrücken.“
„Ganz im allgemein kann im Rahmen der bayesschen Thoerie eine bekannte Tatsache nie eine Theorie bestätigen – ganz im Gegensatz zu der Art und Weise, wie in der Praxis Theorien konstruiert und gestützt werden.“
Mikael Carzic Hochschullehrer Uni Paris 12 und Forscher am Institut d’historie et de philosophie des scientes et des techniques (Paris1-ENS-CNRS)
Isabellle Druoet Postdoc. Des Fonds national de la recherche sciences et an der Katholischen Universität in Löwen (Belgien)
Biometrische Merkmale zur Personen-Authentifizierung (z. B. Fingerabdruck)
Jeder Mensch ist einzigartig. Doch welches Merkmal eignet sich am besten, ihn zweifelsfrei zu erkennen? Offensichtliche Charakteristika wie Haarfarbe, Augenfarbe, Unterschrift und Stimme lassen sich relativ leicht verändern.
„Anders der Fingerabdruck: Als vor über 150 Jahren der Nachweis gelang, dass die Abdrücke zweier Personen niemals genau gleich sind, hatten Kriminologen ein einzelnes, treffsicheres Merkmal zur Hand, das sich nur schwer fälschen liess. Noch heute werden Verbrecher auf diese Weise identifiziert, und auch in Pässen ist der Fingerabdruck beliebt.“
„Für biometrische Pässe werden die Linienmuster der Fingerkuppen (meist jene der beiden Zeigefinger) heute mit optischen Scannern erfasst und dann als Bild gespeichert.“
„Um zu prüfen, ob der Passinhaber mit jener Person identisch ist, die den Pass präsentiert, werden die Muster von Rillen und Linien auf der Fingerkuppe mit einem Computerprogramm verglichen. Am wichtigsten sind dabei Lage und Anatomie der sogenannten Minuzien, der Gabelungen und Enden der Linien. Enthalten zwei Fingerabdrücke eine bestimmte Anzahl übereinstimmender Minuzien, betrachtet man sie als vom gleichen Finger stammend. Die Software gibt also – wie jedes biometrische System – immer nur die Wahrscheinlichkeit der Übereinstimmung an.“
Wie können Reproduzierbare Statistiken ohne vergleichbare Ganz-Körper-Statik-Mess-Werten erstellt werden?
Diese einseitigen Kräfte sind verantwortlich für die Ausweich- und Kompensations–Haltungen. Diese verändern dadurch die Skelettstellungen über Knochen, Gelenke und Wirbelkörper.
Der Körper reagiert dann irgendwann mit Beschwerden an der Stelle, welche durch die ständig einwirkende Fehlstatik überlastet wurde.
Bei Bildaufnahmen werden vielmals in der Spontanhaltung und liegend durch Entlastungshaltungen, z.B. durch unterlegen der Knie und oder Kopfhaltung eingenommen.
Ohne Spannung verändern sich aber die Bilder.
Ein einseitiges Knie-Streckdefizit, der Beinschenkel Winkel zum Becken, Hüftgelenke und Wirbelkörper-Stellungen verändern sich.
Diese entsprechen aber nicht dem belasteten Körper. Was eine zielgerichtete Intervention stark erschwert.
Verspannungen und Überdehnungen verändern den Durchfluss von Blutbahnen. Somit können nicht mehr genügend Aufbaustoffe zugeführt und nicht mehr genügend abtransportiert werden. Es führt zu Ablagerungen im Gewebe und Gelenken.
„Thoshiba 9Jahrgang 6 2004“
„Muskelkontraktion über einen längeren Zeitraum hinweg führt zu einer Verengung der Blutgefässe um die Muskeln, wodurch sich der Blutstrom nach und nach verringert. Messungen zufolge erfordert die Handhabung der Ultraschall Sonde im Durchschnitt einen Kraftaufwand von 2 Kg – was über einen längeren Zeitraum hinweg eine enorme Anstrengung bedeutet. (Habes et al. 1999) Es werden mehr Nährstoffe verbraucht, als geliefert werden können, und in der Umgebung der Muskeln kann es zu Ablagerungen kommen.“
Innovation 12.5.2018. Innovation Zürichsee-Zeitung Obersee Künstliche Intelligenz- ein Helfer und kein Monster
Person Katharina Luban Professorin für Logistik und Supply Chain Management an der Hochschule für Technik Rapperswil (HSR) otm
„Gravitationsgesetze auf Planeten mit dem Computer berechnen wollte, dann bräuchte man sehr viel Computerpower.“
„Aber als Newton einmal unter einem Baum sass, ist ihm ein Apfel auf den Kopf gefallen. Auf einmal war alles relativ einfach dies in eine Formel zu bringen.“
„Glaubt daran, dass die Funktionsweise des Gehirns nicht so kompliziert sein kann, dass man immer mehr Computerpower braucht, um etwas zu erklären.“
„Es muss einfachere Lösungen geben. Es lohnt sich, darüber nachzudenken.“
„Sind Algorithmen, die brillant Schach spielen, intelligent?“
„Nein, für mich ist Intelligenz schon ein Schritt weiter. Diese Beispiele sind einfach klug angewendete Rechenpower, würde ich sagen.“
„Sie können einem Algorithmus nichts beibringen, wenn Sie keine Beispieldaten haben.
Er kann nur das lernen, was man ihm vorsetzt, aber nicht den nächsten Schritt denken.“
„Er kann vieles sicher sehr viel schneller als Menschen, und es gibt Anwendungen, die dafür sehr geeignet sind.
Aber wirkliche Intelligenz bedeutet, Neues zu kreieren. Und das gibt es noch nicht.“
„Gehören zur Intelligenz auch andere menschliche Attribute wie Empathie oder Emotionen, oder kann Intelligenz ohne sie funktionieren?“ „Nein“
Wie können dreidimensionale Bilder, ohne Stand oder Liegend vorgaben (Fixierungen) aufgenommen werden, ohne die Fehlstatik-Auswirkungen über die Körperstatische Mittellinie mit Messdaten zu erfassen. Algorithmen benötigen Beispieldaten. Wie aber können über Einmaligkeit Vergleichsdaten entstehen?
